
Nuestras instalaciones han sido diseñadas poniendo a su disposición un centro con más de 350 m2 que le permite disfrutar de amplios espacios claramente identificables por su ambiente familiar, relajado y acogedor.
Nuestra tecnologíaLa tecnología y servicios aplicados en nuestros tratamientos nos sitúan a la vanguardia de la odontología, siendo un reflejo del objetivo de cuidar su salud bucal a través de nuestras diferentes áreas.

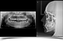
Nos permite la exploración detallada de los huesos maxilares y su relación con las estructuras faciales. Se utilizan en implantología oral, ortodoncia y cirugía para realizar diagnósticos y estudios detallados así como proyecciones radiográficas de todo el cráneo en una única imagen digital.

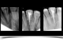
Mediante radiografías digitales intrabucales, podemos explorar con mayor exactitud la patología dental y periodontal.

Con cámaras de Alta Resolución realizamos la exploración en monitores de las superficies dentales así como control de tratamientos periodontales y endodónticos observando cualquier patología que pueda pasar desapercibida a simple vista. (caries, fisuras de esmalte, manchas, conductos accesorios radiculares, defectos periodontales, etc.)

Ayuda a nuestros pacientes a entender el proceso de su tratamiento y como se lleva a cabo de una manera simple y sencilla

LaserSmile:
Tecnología láser para blanqueamiento y tratamiento de cirugía menor en tejidos blandos. Es el láser más avanzado para realizar los tratamientos con el mínimo de agresión para el diente y la máxima efectividad para tu sonrisa.
WaterLase:
Es el sistema más avanzado de tecnología láser Er-Cr para realizar intervenciones de cirugía mínimamente invasivas tanto en tejidos óseos como intervenciones de cirugía estética periodontal, con funciones en odontología conservadora o tratamientos de disfunción y dolor orofacial.

Mediante el uso de Cirugía Láser Guiada Mínimamente Invasiva nos permite reponer cualquier pieza dentaria mediante la exodoncia, la implantación inmediata y colocación de prótesis provisional estética todo en el mismo procedimiento.

Contamos con maquinaria de última generación que permiten una máxima desinfección y esterilización mediante monitorización de ciclos del material clínico.